診療内容
MEDICAL一般眼科
屈折異常、眼瞼(まぶた)疾患、結膜疾患、角膜疾患、白内障、緑内障、網膜疾患など全ての眼科疾患の診断と治療を行います。
屈折異常
「屈折異常」とは、近視・遠視・乱視などのことです。
老視(老眼)は調節力(ピントを合わせる力)の低下した状態で、屈折異常ではありません。
平行光線(遠方からの光)が眼に入った時、正視では網膜面に焦点を結びますが、近視では網膜の前に、遠視では眼球の後ろに結像します。乱視では眼の経線によって屈折力が異なるので、1点で結像しません。近視は凹レンズで、遠視は凸レンズで、また乱視は円柱レンズで矯正します。
- 正視


- 屈折異常

ものもらい(麦粒腫)・霰粒腫
ものもらいとは、麦粒腫のことです。眼瞼(まぶた)に細菌が感染することによって発症し、腫れたり赤くなったり痛みを伴います。抗生物質による薬物治療が有効です。
一方、これと似た病気に霰粒腫があります(左写真)。指で触れてみると皮下に丸い腫瘤を認めますが、通常痛みはありません。ただし細菌感染が加われば痛みを自覚します。薬物治療で治らなければ切開が必要です。
結膜炎
結膜炎にかかると充血、メヤニ、涙、かゆみ、まぶたの腫れなどを自覚します。
結膜炎の原因には、アレルギー性、細菌性、ウイルス性(左写真)などがあります。
花粉症はアレルギー性の一種です。コンタクトレンズでもアレルギー性の結膜炎を起こすことがあります(巨大乳頭性結膜炎)。
ウイルス性は伝染力が非常に強く、家族や職場の同僚にうつしてしまう恐れがあります。その点十分な注意が必要です。
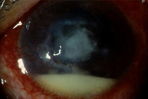
角膜潰瘍
角膜とは、黒目の表面にある厚さ約0.5mmの透明な膜です。いろいろな原因で角膜が混濁することがあります。
角膜潰瘍もその1つで、細菌やウイルスなどの感染、免疫反応、コンタクトレンズの不適切装用などが原因で発症します。眼痛や視力の低下を自覚します。角膜移植術が必要になる程の重傷例もあります。
白内障
白内障は、目の中のレンズ(水晶体)が濁る病気です。
加齢に伴うものが大半ですが、若い人でもアトピーや眼内の炎症などに伴って発症することもあります。
初期には「明るいところでまぶしい」「霧がかかった様に見える」などと感じますが、進行するにつれて視力低下が著明になります。生活に支障が出れば、手術をします。
緑内障
緑内障は、眼圧(眼球をボール状に保つ内側から外側へ向かう圧力)が高くなり、視神経を障害(左写真:視神経乳頭陥凹)し、視野(見える範囲)に異常を来す病気です。
しかし、かなり進行しないと、自覚症状は表われません。
成人の30人に1人が緑内障にかかっていると言われています。更に近年、日本人には眼圧が正常でも視野異常を来す「正常眼圧緑内障」が多いことが明らかにされてきました。
治療は、点眼薬によって、眼圧を降下させます。難治例では、手術も行われます。しかし、治療によって進行を阻止することはできても、改善させることはできません。
網膜剥離
網膜は眼内の内側を裏打ちしている膜で、像を写すフィルムの役目をしています。
眼球の壁から網膜がはがれた状態を、「網膜剥離」と言います。網膜にあいた穴から眼球内の水が網膜と壁の間に入り込んだ状態が網膜剥離です。網膜剥離に対応した部分が見えなくなります。
穴のあいた状態(網膜裂孔)でとどまっていればレーザー光凝固術で治癒しますが、剥離に進行した場合は手術が必要です。
糖尿病網膜症
糖尿病を一定期間放置したままでいると網膜症を合併します。網膜に出血や白斑が表われ、視力が低下します。さらに進行すると大出血や網膜剥離を起こし、失明に至ります。
糖尿病自体の内科的コントロールが最も重要ですが、眼科的にはレーザー光凝固術が主な治療法となります。
コンタクトレンズ外来
コンタクトレンズにはハード、ソフトなど様々なタイプのレンズがあります。
当診療所では、特に眼にやさしい酸素透過性の高いレンズをおすすめしておりますが、患者様それぞれに最適なレンズを選択するためのご相談、諸検査、装用中のトラブルの治療など、コンタクトレンズに関する知識の豊富な院長、視能訓練士、検査員が患者様のあらゆるニーズにお応えいたします。また、円錐角膜などコンタクトレンズ処方の難しい患者様にも最適なレンズを処方いたします。
角膜内皮細胞検査
近年、角膜内皮細胞の状態を拡大して撮影出来る器械(スペキュラーマイクロスコープ)が開発され、コンタクトレンズを長期間装用すると、角膜内皮細胞を傷害することが分かってきました。角膜内皮細胞は角膜の一番内側にある一層しかない細胞ですが、黒目の透明性を維持する非常に重要な細胞です。通常、正常成人の角膜内皮細胞密度は1mm² 当たり2500〜3200個と報告されています。この細胞は加齢変化によって除々に減少しますが、さらにコンタクトレンズを使用しても細胞の減少が生じます。また、一度減少した細胞は増えることはありません。700個以下になると失明の危険性もあります。
当クリニックでは、コンタクトレンズを装用している患者様を始め、一般の患者様でも、ご希望があれば、常時この検査を行っております。
- 加齢変化
-
26歳(女性)
80歳(女性)
- 使い捨てコンタクトレンズを4年間装着前後の変化
-
装着前
4年装着
近視治療
近視の多くは眼球が前後に伸びてピントが網膜に合わずにモノや字がぼやけて見えます。また、眼球は体が成長する時期に伸びることが多く、低年齢のころに早く伸びてしまう可能性があります。
近年、小児の近視は増加しており、小学生の約40%、中学生の約60%裸眼視力1.0未満との報告もあります。外遊びの時間の減少、近くを見る作業の増加など、小児のライフスタイルの変化が原因と考えられております。
近視が進行すると将来、緑内障や網膜剥離などの視力にかかわる病気になる可能性があります。一般的に近視が進行しやすい小児期から成長期の間に眼軸長の伸長を抑え、近視進行を抑制します。
当院では主にオルソケラトロジーとリジュセア®ミニ点眼薬による近視進行抑制治療を採用しています。どちらも公的医療保険の対象外(自由診療)になります。
オルソケラトロジー
特殊な形状の高酸素透過性ハードコンタクトレンズを夜間就寝時に装用することによって、角膜前面を平坦化させて近視を矯正する方法です。
この方法で十分な矯正が得られれば、昼間はメガネやコンタクトレンズが不要となり、裸眼で快適に過ごすことができます。
また、装用を中止すれば、角膜形状や屈折状態は元に戻りますので、可逆的な安全性の高い方法と言えますが、長期的な副作用については、新しい治療法ですので解っていないのが現状です。
一方、近年小児期の近視眼にこのレンズを継続して装用すると、眼軸長の伸展が抑制され近視の進行が抑制されることが解ってきました。
成人後、強度近視になると様々な重篤な眼の病気を引き起こすことが知られています(悪性近視)。
本方法は、単に近視を矯正するだけではなく、強度近視とそれに伴う重篤な眼合併症(悪性近視化)を予防できるという点で大変意味のある治療方法と思われます。
- レンズ装用前 [就寝前]
![レンズ装用前 [就寝前]](http://nakayasu-eye.tref.jp/wp/wp-content/themes/nakayasu/assets/img/medical/img_medical_16.png)
- レンズ装用中 [睡眠中]
![レンズ装用中 [睡眠中]](http://nakayasu-eye.tref.jp/wp/wp-content/themes/nakayasu/assets/img/medical/img_medical_17.png)
- レンズ装用中 [翌日]
![レンズ装用中 [翌日]](http://nakayasu-eye.tref.jp/wp/wp-content/themes/nakayasu/assets/img/medical/img_medical_18.png)
オルソケラトロジー法の流れと費用
-
1初診(適応検査)
適応検査:オルソケラトロジー法に適しているか否か、を検査します。
トライアルレンズ装用:レンズを装用して、効果と装用感を体感します。
レンズの装脱着の可否確認:必要に応じてご本人又は保護者様に指導します。
専用のレンズの注文:最適なオルソケラトロジー用レンズを注文します。検査料:5,000円(税込)
-
2お試し装用 開始
注文レンズのお渡し:フィッティングを確認し、レンズをお渡しいたします。
今後のスケジュールとケア方法の指導:今後の装用及び定期検査スケジュールの指導をします。
レンズの消毒、管理方法を指導します。以後、1か月間のお試し装用を開始していただきます。両眼レンズ代一部、デポジット代:50,000円(税込)
お試し装用期間に中止した場合は、30,000円 返金致します。
-
3お試し装用 検査
専用レンズ装用後、初めての検査:近視の改善度、合併症の有無、レンズ及びレンズケースの汚れ等を確認します。
問題無ければ、お試し装用を継続していただきます。 -
4治療継続の決定
お試し装用後、2回目の検査:前回と同様の検査をします。
オルソケラトロジーレンズによる治療継続の決定
1か月間のお試し装用の経験を踏まえて、このまま治療を継続するか否か決定していただきます。
継続希望の場合は、お試し装用したレンズをそのまま継続して使用していただきます。以後、正式装用となります。両眼レンズ代金、残金:80,000円(1年以内、片眼につき1回のみの破損交換保証付)
治療を中止する場合は、レンズをご返却いただきます。
返金:30,000円(レンズ代、デポジット:50,000円から) -
5定期検査
前回受診日(正式装用)から1か月後:眼の状態、レンズ、レンズケースの状態をチェックします。
以後、治療を継続している間は、必ず2か月ごとに定期検査を受けてください。
2回目以降は、検査代 2,500円/回がかかります。
近視進行抑制点眼薬
近視の進行をできる限り予防することで将来の見え方を守り、近視による目の病気になる可能性を低下させることがこの点眼薬を使用する目的です。
リジュセア®ミニ点眼薬は厚生労働省の承認を受けた日本で初めての近視進行抑制点眼薬で、1日1回就寝前に点眼します。臨床試験では重篤な合併症はなく、まぶしさや一時的な目のかすみなどの症状はあったものの、いずれも無治療で回復しているようです。
近視進行抑制治療はあくまで近視の進行を抑制するものであり、進行が完全に止まるわけではありません。また、近視を改善するものでもないため、近視の程度に応じて眼鏡やコンタクトレンズでの視力矯正が必要になる可能性があります。
リジュセア®ミニによる治療の流れと費用
| 治療スケジュール | 費用(税込) |
|---|---|
| 初回 | 診察・検査費用(3,500円)+点眼薬費用(4,380円/月) |
| 2回目(初回から1ヶ月後) | 診察・検査費用(2,500円)+点眼薬費用(4,380円/月) |
| 3回目以降(前回から3ヶ月後) | 診察・検査費用(2,500円)+点眼薬費用(4,380円/月) |
自由診療に関する重要事項
近視に対する治療(オルソケラトロジーや近視進行抑制点眼薬)の期間中は、検査から処方まで全て自由診療となります。
同じ疾患(近視)に対して保険診療と自由診療を併用することはできません。従ってその間の眼鏡やコンタクトレンズの処方も自由診療の対象となります。
また、リジュセア®ミニ点眼液の副作用(充血、異物感など)に関する治療も自由診療となります。
近視とは無関係な疾患(アレルギー性結膜炎・眼外傷など)については同日でも保険診療が可能です。ただし、診療録や会計は明確に区分されます。
セカンドオピニオンの提供
大学附属病院勤務25年の経験を生かして、眼の病気に関するあらゆるご相談にお応えしています。
他の病医院にて診断・治療を受けているが不安や疑問を感じておられる患者様、他病医院で手術を勧められたがすぐにすべきかどうか、手術時期はいつ頃が良いのか迷っておられる患者様、近視矯正手術(LASIK手術)を受けたいが心配だ、と考えている患者様、当クリニックに是非お出かけください。医学的根拠に基づいたアドバイスをさせていただきます。
また、さらに詳しい精密検査や内眼手術が必要な場合には、当クリニックの関連病院である順天堂大学医学部附属順天堂医院などに最優先でご紹介いたします。
眼精疲労(つかれ目)外来
眼精疲労(つかれ目)には、下記のような様々な原因があります。おそらく多くの患者様はこれらの原因の一つだけではなく、いくつかの原因を持っておられると思います。
当診療所ではこれらの原因について、問診票や様々な眼科的検査をもとに、一つ一つの異常をチェックし、原因を見い出し、医学的根拠に基づいた治療を行っています。
-
眼科疾患によるもの
屈折異常
調節力の低下
斜位、輻輳異常など -
全身疾患によるもの
糖尿病
肝臓病
過労、生活習慣病など -
環境因子によるもの
VDT症候群
OA病
電磁波の影響など -
心因性のもの
ストレス
精神的、心理的負担
初期的うつ病など
眼科ドック(目の健康診断)現在休止中
当クリニックでは、眼科専門のドックを開設しております。
近年、40歳以上の30人に1人が緑内障にかかっていると言われています。 しかも自覚症状が全く無く、眼圧の正常な緑内障が日本人に多いことが明らかにされています。このような病気を発見するためには、眼圧のみならず、視野検査、眼底検査など総合的な眼科検査が必要です。
当ドックでは、このような隠れた眼の病気を見つけだすことに加え、皆様の眼の健康をしっかりと確認すること、ご心配な点に対する適切な医学的情報をお伝えすることなども、私どもの大きな使命と考えております。
是非眼に関する総合的な健康診断である当クリニックの眼科ドックを受診されますようお勧めいたします。
料金
16,500円(税込)自由診療扱いです。検査の結果、眼疾患が発見されますと当院でさらに詳しい検査や治療を受けることが出来ます
その場合は保険診療となります(初診料不要)。
検査時間
約2時間検査項目
- 屈折(近視・遠視・乱視)の状態
- 老視(老眼)の状態・眼鏡 / コンタクトレンズの適否
- 調節力(眼精疲労)
- 両眼視機能 / 立体視機能
- 眼球運動・斜視 / 斜位
- 視野障害・眼瞼(まぶた)疾患
- 涙液分泌量(ドライアイ)
- 結膜疾患・角膜疾患 / 角膜内皮細胞の状態
- ぶどう膜疾患・白内障・緑内障 / 高眼圧症
- 眼底疾患:高血圧 / 糖尿病 / 網膜穿孔 / 網膜剥離 /
網膜出血 / 黄斑変性 / 視神経症(炎)
など、ほとんど全ての眼科の病気がチェックできます。
レーザー治療
網膜裂孔、糖尿病網膜症、後発白内障、緑内障の治療を行います。
当クリニックには、Optimis Fusion™にvitra2®(共にellex社)を組み合わせたレーザー装置を設置しております。
本装置は、網膜裂孔、糖尿病網膜症、網膜静脈閉塞症などの網膜疾患、後発白内障の後嚢切開、また近年有用性が確立されつつある緑内障に対するSLT(選択的レーザー線維柱帯形成術)などに使用します。
SLTとは緑内障の方の眼圧を下げる効果がありますが、特に緑内障初期に施行すると毎日の点眼薬の使用を減らす、場合によっては点眼せずに低い眼圧を保つことができます。
この手術について興味のある方、これから受けようと考えておられる方も是非ご来院ください。